【症例】保険診療でできるメタルフリー治療
2022/02/24 症例
治療概要
| 治療内容 | 保険診療でのメタルフリー治療 | 期間 | 4ヶ月(メタルフリー治療) |
|---|---|---|---|
| 治療回数 | 12回(メタルフリー治療) | 費用 | 保険診療 ・CAD/CAM(キャドキャム)冠 1本 約6.000円 ・ Crインレー 1本 約1.000円 |
治療前の状態・主訴
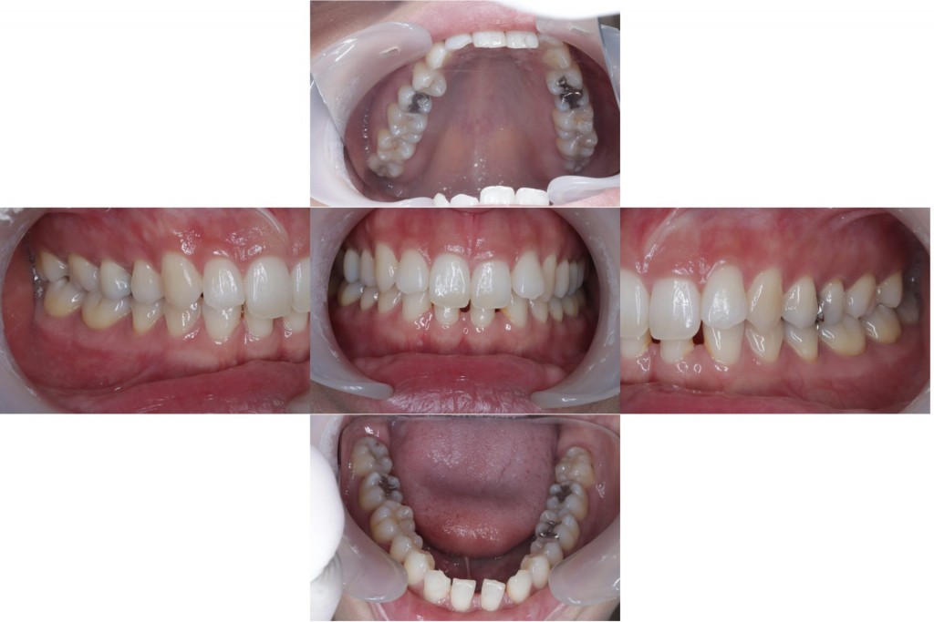
患者様は金属が入っている歯を全て自然な白い歯にしたいとのことで来院されました。
お口の中を確認したところ、金属は上の歯に3本、下の歯に3本入っていました。
また、治療が必要な虫歯が2本ありました。

患者様に治療に必要な歯科素材の特徴や費用についてご説明したところ、保険診療での治療を希望されました。
治療詳細
金属が使用されていた歯6本と虫歯2本の治療を行いました。
①CAD/CAM(キャドキャム)冠を用いた治療
右上の6番はレジンとセラミックを混ぜたハイブリットレジン素材のCAD/CAM(キャドキャム)冠を用いて治療を行いました。
神経の治療も3回にかけて行い、かみ合わせに問題がないように形を整えて仮歯を付けました。次の診療でCAD/CAM(キャドキャム)冠を装着しました。
【CAD/CAM(キャドキャム)冠について】
CAD/CAM(キャドキャム)冠とはレジンとセラミックを混ぜたハイブリットレジン素材を機械で削って作り出した白い被せ物です。2020年9月1日より、小第一小臼歯、第二小臼歯(中央から数えて4、5番目の歯)に保険適用が可能になりました。
②CRインレーを用いた治療
右上の4、5番と左上の4、5、7番、左下5、6番はCRインレーで治療を行いました。 金属の詰め物を除去し、全体のかみ合わせを仮歯で調整して、最終的に CRインレーを装着しました。
【CRインレーについて】
CRとはコンポジットレジンの略です。プラスチックの素材で、金属アレルギーの心配がなく、保険適用のため費用を抑えられるメリットがあります。吸水による変色、柔らかさによるかみ合わせの低下、かけやすいなどのリスクがあります。
治療後の様子
口腔内の金属は全てなくなりました。
ご自身の歯と区別がつかないほど、自然な口元に仕上がり、気兼ねなくお口を開けて笑ったりお話したりしていただけるようになりました。
口腔内の金属が原因のアレルギーのリスクは低減されました。

主な副作用・リスク
・CAD/CAM(キャドキャム)冠やCRインレーの材質は時間が経つと変色する可能性があります。
・CAD/CAM(キャドキャム)冠やCRインレーは強い力がかかった場合割れたり欠けたりすることがあります。
<保険診療だけでもメタルフリー治療が可能な場合があります>
虫歯の治療などで口腔内に入っている歯科金属は、金属アレルギーや掌蹠膿疱症(しょうせきのうほうしょう)の原因となる可能性があり、全身の健康を害するリスクがあります。
口腔内の歯科金属が原因で全身に不調をきたしていると考えられる方に対しては、歯科金属を除去して、メタルフリーの素材へ替える治療をおすすめしています。
2014年3月までは、奥歯(前から4番目以降)の被せ物は保険診療では銀歯の選択しかできませんでした。白い歯を選択すると、高額な費用がかかると思っている方もまだ多いかもしれません。
現在は4、5番目の歯はCAD/CAM冠が主流になりつつあります。2017年12月からは、条件付きで下顎の第一大臼歯(前から6番目の歯)もCAD/CAM冠が保険適用に、2020年4月からは上顎の第一大臼歯も保険適用になりました。
保険診療では使える材質に制限があり、患者様が抱えているアレルギーは金属だけとは限らないので、なるべく体との親和性が高いセラミックなどの素材を選ぶことをおすすめしますが、患者様のご希望をうかがい、今回のように保険診療だけでメタルフリー治療を実現することも可能な場合があります。
愛媛県松山市の「もりもと歯科クリニック」では、患者様一人ひとりの全身の健康を意識した歯科医療を行っています。
院長の森本は、メタルフリー治療の実績が年間600本以上であり、患者様に合わせた素材の選定や歯科金属を取り除く際、金属が体に入らないようにする処置、歯の破折リスクへの配慮も行い、様々なケースにご対応できるよう、患者様に治療の選択肢をご提示しております。
また、メリット、デメリットをしっかりとご説明し、ご理解を頂いてから治療を行っております。
歯やお口周りに、お困りの症状や気になることがございましたら、どうぞお気軽にご相談ください。
こちらもご参照ください
全身の健康を考えた治療|金属アレルギー・掌蹠膿疱症専門歯科医療サイト|松山 もりもと歯科クリニック
もりもと歯科クリニック 歯科医師 森本将史





